
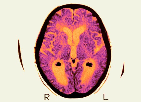
Annual U.S. Dementia Cases Projected to Rise to 1 Million by 2060
A new study finds that dementia cases will increase at a much higher rate than expected, with lifetime risk rising to 42 percent after age 55

Annual U.S. Dementia Cases Projected to Rise to 1 Million by 2060
A new study finds that dementia cases will increase at a much higher rate than expected, with lifetime risk rising to 42 percent after age 55

Genetic Testing Is a Gift. But It Shouldn’t be a Present
Think twice before giving direct-to-consumer genetic testing kits to friends and loved ones

Read all the stories you want.

Millions of Aging Americans Are Facing Dementia by Themselves
In a health care system that assumes older adults have family caregivers to help them, those facing dementia alone often fall through the cracks

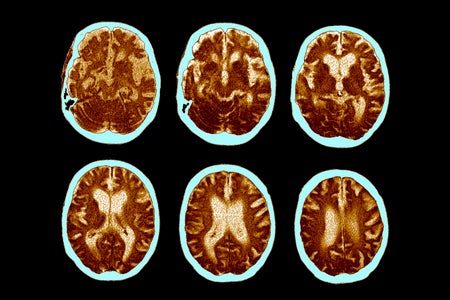
Controversial New Guidelines Would Diagnose Alzheimer’s before Symptoms Appear
According to expert recommendations, the diagnosis of Alzheimer’s can proceed by detecting the disease’s underlying biology—even before the onset of cognitive decline

Musical Memories Don’t Fade with Age
Eighty-year-olds are able to identify familiar tunes just as well as teenagers can

What’s the Secret behind Ozempic’s Sweeping Health Benefits?
Ozempic, Wegovy and other GLP-1 drugs are being investigated as treatments for many health conditions—from dementia to addiction to kidney problems

Alzheimer’s Drug with Modest Benefits Gets Green Light from FDA Advisers
The drug donanemab slows progression of symptoms in people with early stages of Alzheimer’s disease, but questions linger about the durability of its effect

This Is Your Brain on Climate Change
Extreme heat caused by climate change can exacerbate a variety of neurological ailments, from Alzheimer’s disease to migraines to epilepsy, new research shows

Does Long-Term Benadryl Use Increase Dementia Risk?
Benadryl, which contains diphenhydramine, is a drugstore mainstay and just one medication out of many that could possibly damage brain health

Growth Hormone Injections May Have ‘Seeded’ Alzheimer’s in Some People, Study Suggests
Injections of no-longer-used growth hormone derived from cadavers may have “seeded” Alzheimer’s in some people, small study suggests

Forgotten Memories May Remain Intact in the Brain
Everyday lapses in memory can be a part of learning

Alzheimer’s Drug Donanemab Helps Most When Taken Early in Disease
An Alzheimer’s drug that attacks the protein amyloid does not work as well in people with more advanced disease