
Annual U.S. Dementia Cases Projected to Rise to 1 Million by 2060
A new study finds that dementia cases will increase at a much higher rate than expected, with lifetime risk rising to 42 percent after age 55

Annual U.S. Dementia Cases Projected to Rise to 1 Million by 2060
A new study finds that dementia cases will increase at a much higher rate than expected, with lifetime risk rising to 42 percent after age 55

Some of These Whales May Live to 150—Double the Age Previously Thought
Bowhead whales were known to live up to 200 years, and a new study finds that southern right whales may live up to age 150 if they aren’t being hunted

Read all the stories you want.

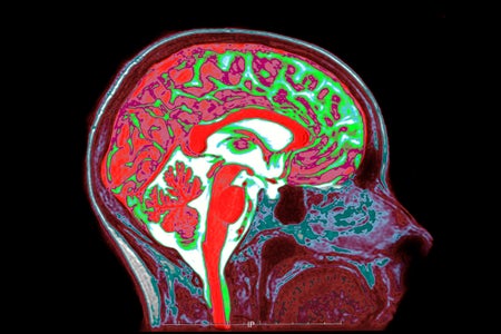
Why Some Brains Don’t Rot and Other Wild Things We Learned about the Human Body in 2024
From periods of rapid aging in our 40s and 60s to ancient brains that don’t decompose, here are some of the year’s most intriguing stories about human biology

Health Care Isn’t Working for Homebound Older Adults Living Alone
There is a large population of older adults with physical problems that prevent them from leaving home. Many have significant medical and practical needs that go unmet

How Harris Plans to Make Home Care for Older Relatives Easier
Harris recently proposed a Medicare plan that would cover at-home health aides and other long-term care services, which could provide much needed relief to older adults and caregivers

How Retinol Cosmetics Change Skin at a Chemical Level
Experts explain the differences between popular retinol products and the way they trigger molecular changes deep in the skin

Balancing Long-Term Caregiving with Personal Well-Being
Caring for aging loved ones brings its own set of emotional and physical hurdles. Experts offer guidance on finding support.

Discrimination Could Be Making People of Color Age Faster
Understanding how racism affects aging and the timing of menopause could lead to better screening and preventive care.

Navigating the Struggles and Joys of Caring for Aging Loved Ones
Personal stories and research reveal the challenges of family caregiving.

Why Aging Comes in Dramatic Waves in Our 40s and 60s
A new study suggests that waves of aging-related changes occur at two distinct points in our life

Brains Age in Five Different Ways
Brain scan study hints that methods could be developed to detect the earliest stages of neurodegenerative disease

Many Older People Maintain and Even Gain Cognitive Skills
Contrary to stereotypes of the doddering elderly, research shows that half of people older than age 70 stay mentally sharp